
OH!ALF치과의 하이브리드(Hybrid)교정은
환자맞춤형 교정입니다.
환자의 교합 상태 및 치열 상태, 잇몸 상태, 환자의 습관,
환자의 나이, 환자의 사회적 여건 등 환자의 주어진 상황에 맞춰
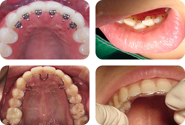
알프장치(ALF appliance)를 비롯하여 클리피씨, 마제스티, MTA,
2D, 투명교정, 인비절라인, 그라피 등 치아교정 장치의 종류에 얽매이지 않고 치아교정 장치를 추천해 드릴 수 있는 것은 치아교정 경험에서 비롯됩니다.
심미교정 뿐만 아니라 15년 이상 보철진료를 하며 교합과 턱관절을 공부해 온 바탕으로 다양한 치아교정 장치를 환자 상황에 맞게 복합적으로 사용합니다.
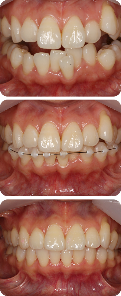
환자분의 상황에 맞게 다양한 장치 중 최적의 장치를 추천드릴 수 있고 정통알프교정, 전체교정, 부분교정, 레진, 법랑질성형, 라미네이트와 올세라믹 등을 복합적으로 추천드릴 수 있습니다.
세미나와 공부를 통해 많은 것을 배웠습니다. 그러나 이제는 재방문해주시는 환자분들께 해드렸던 나의 치료들을 통해 더 많은 것을 배웁니다.
유지가 잘 된 치료는 유지가 잘 되어서 기쁘고
유지가 잘 안 된 치료는 그 이유가 무엇인지 고민하며 반성하고…
이 세상 최고가 되기보다 매일 ‘최고의 나’가 되기로 결심한 순간,
한 분 한 분의 환자분들이 이 시대를 같이 살아가는 동료이자 후배이고 스승입니다.
15년 이상 압구정에서 심미, 기능 교정을 할 수 있도록 믿고 따라와주신 환자분들 덕분에 성장하여 환자분들의 불편을 잘 이해하고 많은 분들이 결과에 만족해 주십니다.
현재는 환자의 과반수가 소개 환자입니다.
저에게 치아 교정치료를 받으셨던 부모님이 아이 손을 잡고 치아교정을 상담을 오면,
치료를 만족해주셔서 감사한 마음에 한편으로는 기쁘고
치아교정을 해야 하는 아이를 생각하면 한편으로는 속상하기도 합니다.
서울 강남구 선릉로 157길 6, 3층
수인분당선 압구정로데오역 5번 출구